Tierarzt für Pferde
Dr. med. vet. Corina Prohaska
TIERÄRZTIN FÜR PFERDE

3830 Waidhofen an der Thaya
Tel. 0664/34 88 480
Fahrpraxis für Pferde



Tierärztlicher Notfall beim Pferd

Detailliertes Leistungsverzeichnis

Notfallmedizin
Koliker, Schlundverstopfungen, Verletzungen, Geburtshilfe, etc....

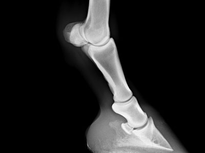
Orthopädie
Lahmheitsuntersuchung inklusive Leitungs- und Gelenksanästhesie und Behandlung, Röntgen, orthopädischer Ultraschall

Innere Medizin
Abklärung von möglichen internen Problemen inklusive Probenentnahme wie z.B. Bauchpunktat, Atemwegsuntersuchung, endoskopische Untersuchung der oberen Atemwege, Stoffwechselerkrankungen, etc.
mobiles digitales Röntgen digitales Röntgen am Pferd

Zahnmedizin
fachgerechte Zahnbehandlung mit mehrteiliger professionellerZahnstation für Pferdezahnärzte, Wolfszahnextraktion, bei verdächtigen Zähnen Möglichkeit der gleichzeitigen Röntgendiagnostik
Zahnarzt für Pferde Zahnarzt für Pferde
Chiropraktik (IVCA geprüft)
zusätzliche alternativmedizinische und ganzheitliche Behandlungsmöglichkeit bei Rittigkeitsproblemen, Rückenpatienten und Taktunreinheiten

Ankaufsuntersuchungen

Gynäkologie
Beratung rund um die Zuchtstute, gynäkologischer Ultraschall zur Zyklusbestimmung, Trächtigkeitsuntersuchung, künstliche Besamung

Neonatologie
medizinische Beratung und Betreuung von Fohlen ab der ersten Lebensminute

Augenuntersuchungen

kleine chirurgische Eingriffe
(z.B. Kastrationen, Sarkoidentfernung)

Abklärung dermatologischer Probleme

Prophylaktische Maßnahmen
(z.B. Impfungen, Beratung,…)
 
Chiropraktik am Pferd Ultraschall Untersuchungen Pferd

    Webdesign by: Gregor & Marianne Hronicek